ホームページ制作過程でインプラントについて知りました。ホームページ制作事務局レポート
| 今回のホームページの取材は驚きでした。 インプラントについて良く分かりました。牧角先生に感謝です。 byホームページ制作事務局
【ご注意】 |
【驚きその1】骨はインプラントを使うことによって活性化するそうです。
![]() |
【左の写真】 写真上の赤いところが骨(骨量)だそうです。インプラントを行った12年後(写真下)に、この赤い部分(骨量)が増えています。 正しいインプラントを行うと骨量が増加するそうです。 知りませんでした。 |
![]() |
【驚きその2】 骨がない所には骨を作る??
【驚きその3】インプラントと磁石を用いることで義歯が非常に安定するそうです。
![]() |
一本もない状態から、極めて安定した義歯を作り出すことができるそうです。
(写真上) インプラント ※いかにも、安定してますね。 |
![]() |
|
![]() |
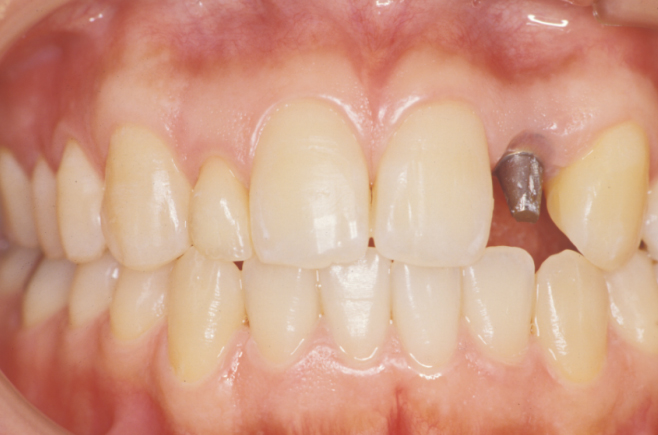
【驚きその4】インプラントを使うと隣の良い歯を削合しなくても歯が作れるそうです。
【驚きその5】インプラントを使うと義歯ではなく自分の歯のようです。
![]() |
インプラントの魅力は自然に近い状態に歯がよみがえることですね。
実際、治療前(写真上)から治療後(写真下)の写真はまるで自分の歯のようです。 でも、インプラントではただ単にインプラントなら何でも良いのではなく、詳しくは分かりませんが、正しい処置をすることが とても大切だそうです。 そうでしょうね。 |
![]() |














